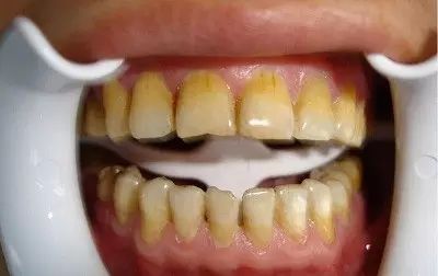
重度四环素牙用烤瓷牙好吗?四环素牙现象,给我们的气质带来了毁灭性的影响。现在做美白的以年轻人为多。不管是男性还是女性,一口洁白的牙齿,总是会让人一见倾心。如果有四环素牙,那肯定是不可接受的。那么,重度四环素牙用烤瓷牙好吗?

烤瓷牙修复就是先将患有四环素色素的牙齿,进行磨除,直到将四环素牙的色素清除干净,然后再进行适当的清洗,在清洗过程中发现如果没有清除干净,则可以采用牙齿漂白技术加以进一步的清洁。
重度四环素牙用烤瓷牙好吗?烤瓷牙修复不仅能够较好治疗四环素牙,而且也防止了其它细菌对患牙的进一步侵蚀,同时,也能够在患牙上形成一层保护膜,避免色素的再次沉淀。并且,也在美观上对患者的形象做了很大的改善。
美国Lava全瓷牙,是烤瓷牙中的佼佼者。Lava全瓷牙在制作过程中,牙冠或牙桥的支架,从所谓的"材料制备"阶段开始研磨。由于研磨的有效度高,再加上独特的3MESEP技术和细微的烧结前支架制程,可Lava全瓷牙装戴的高度,有效预防牙体损伤和牙周组织病变。